近日,我院肝胆外科为一名胆囊结石患者成功施行了经脐单孔腹腔镜胆囊切除手术。从传统的四孔、三孔腹腔镜发展到使用单孔腹腔镜达到手术目的,标志着我院在微创外科道路上的又一次提升和飞跃。

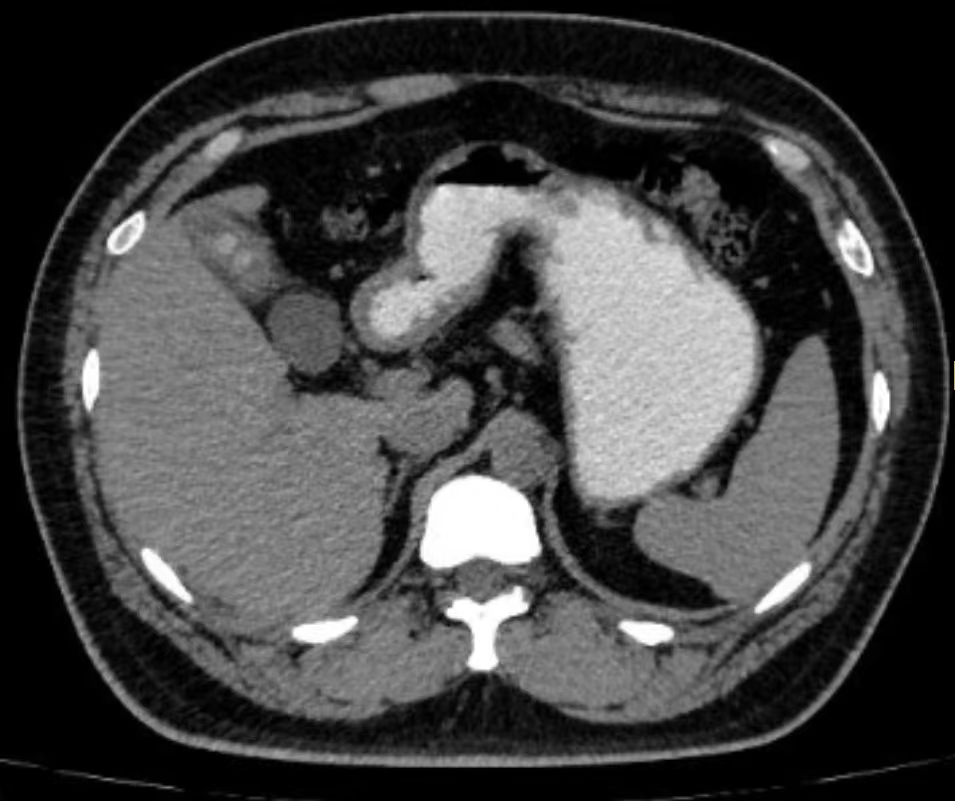
患者,青年男性,查体发现胆囊壁增厚已有3年。医院就诊:CT显示胆囊体部隔膜形成,胆囊底部胆汁引流不畅,胆囊结石形成,胆囊壁炎性增厚。胆囊结石、胆囊壁>3mm、胆囊萎缩、胆囊畸形、瓷化胆囊是胆囊癌的危险因素,应及时行胆囊切除术。

患者咨询多家医院均建议行腹腔镜胆囊切除手术(三孔法),患者了解到我院肝胆外科副主任医师马建博士可以施行1cm单孔腹腔镜手术后,慕名前来手术治疗。马建主任带领肝胆外科团队对患者的病情进行充分的评估后,认为该患者可以进行单孔腹腔镜下胆囊切除术。在与患者及家属充分沟通后,肝胆外科团队成功为患者实施了经脐单孔腹腔镜胆囊切除术。术中经肚脐自然褶皱处切口1cm,术中顺利切除胆囊,用时40分钟,几乎无出血,术后只有单个手术切口隐蔽于肚脐处,既解除了胆囊疾病的病痛,又提供了最佳的美观效果。次日患者进食无不适,现已办理出院。


我院肝胆外科团队开展单孔腹腔镜胆囊切除术,在原来微创手术治疗胆囊疾病的基础上,让创伤、疼痛进一步减轻,切口隐蔽更加美观。我院肝胆外科团队对单孔腹腔镜胆囊切除术的流程和技术进行优化,易于操作,易于推广,可常规开展。