近日,我院肝胆外科、感染科、介入科成功完成一例晚期肝癌患者的降期序贯手术治疗,使患者肝脏肿瘤得到有效控制,并最终实现了根治性切除,明显改善患者预后。体现出我院肝胆疾病团队治疗晚期肝癌的先进水平。

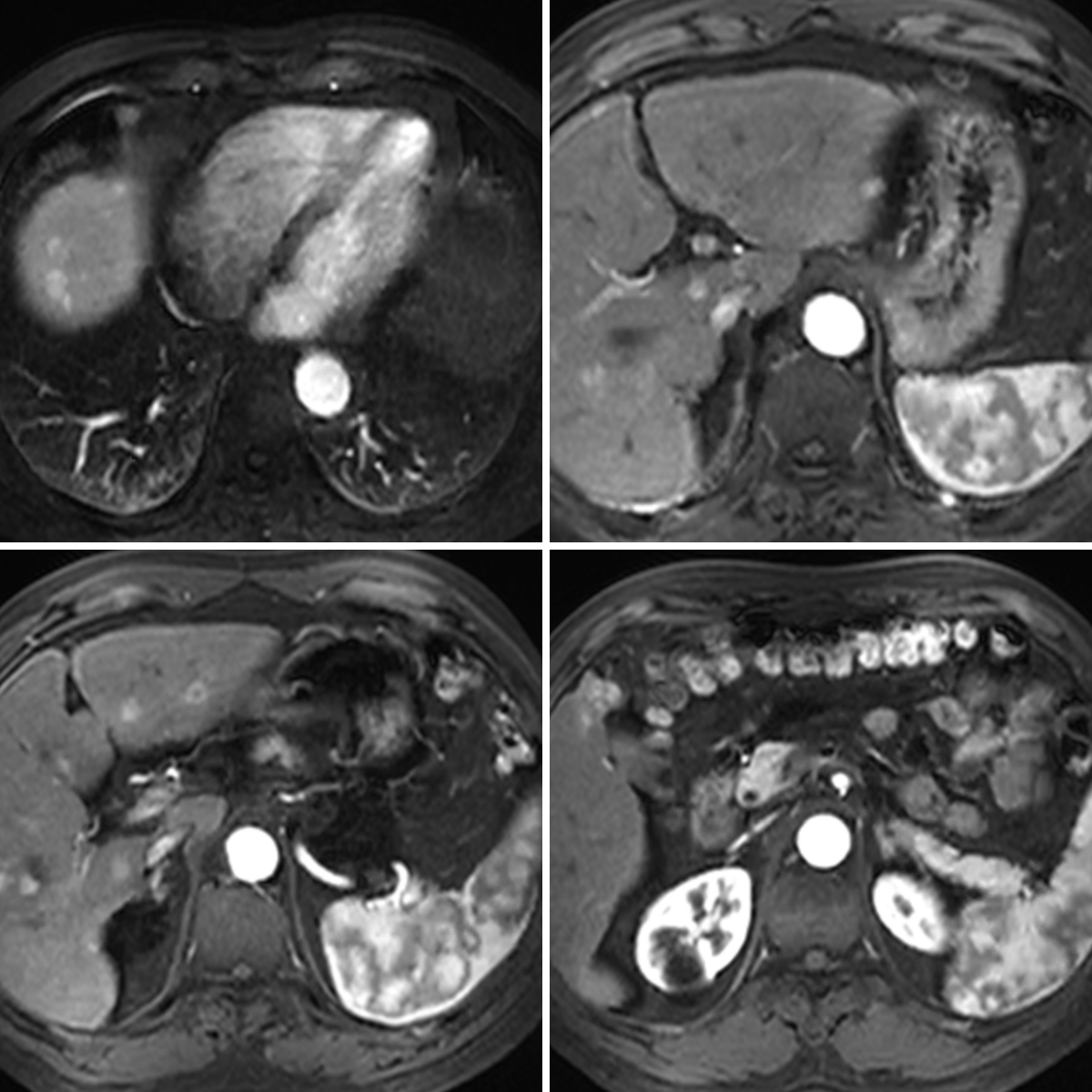
病历资料:患者男,55岁,2年前发现肝脏肿瘤,经过多家大型三甲医院的手术、介入、射频消融治疗,病情仍未得到有效控制,并逐渐恶化进展为肝脏弥漫性肿瘤病灶。2024年5月份患者前来我院就诊。增强MRI显示肝脏弥漫性“快进快出”病灶,符合多发肝癌表现。我院肝胆疾病团队针对该病例进行了多学科讨论,认为单一治疗手段很难控制肿瘤进展,应该调整患者治疗方案为介入+靶向+免疫多举措抗肿瘤治疗。

(治疗前)
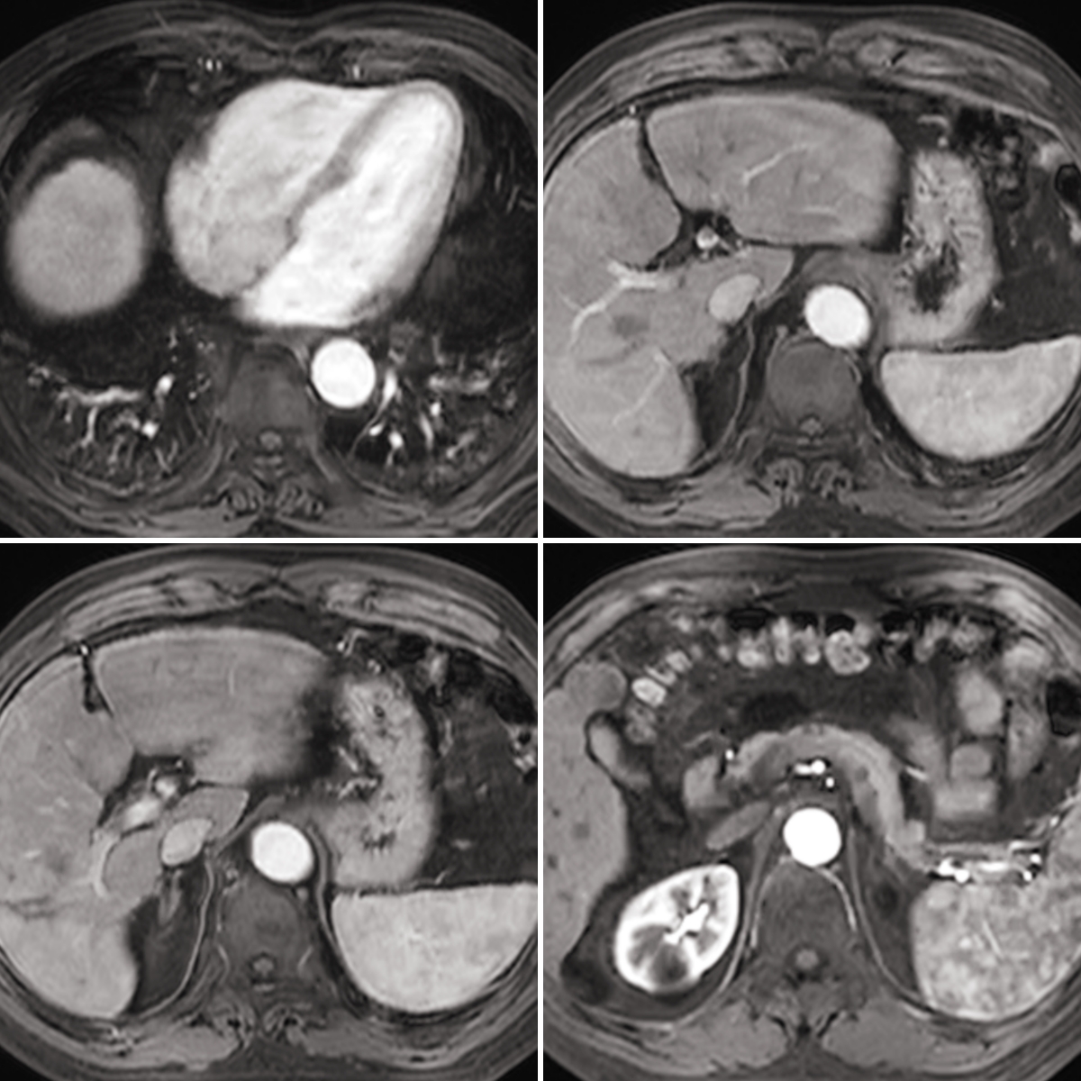
经过4个周期的治疗,2024年9月患者复查MRI提示肝内病灶强化均明显消失,仅胆囊床旁病灶体积较前增大。经过我们肝胆疾病诊治团队再次讨论,认为患者肝脏肿瘤得到有效控制,胆囊床旁病灶还有残存活性,可手术切除胆囊床旁病灶后继续综合抗肿瘤治疗预防复发。2024年9月13日在全麻下行腹腔镜下肝肿瘤切除术,术后病历提示肿瘤大部分坏死,部分可见活性肿瘤组织,切缘阴性。目前患者已恢复出院。

(治疗后)
我院肝胆疾病诊治团队有肝胆外科、感染科、肝病科、消化科、超声科、介入科、麻醉科、手术室等科室组成,在肝胆疾病的预防、治疗具有丰富经验。并且我们团队打破了单一科室治疗疾病的“孤岛”效应,实现整合式团队的建立,定期开展多学科讨论,针对疑难危重病例统筹制定诊治方案,实现诊治方案的“有效化、最优化”。我们团队将继续坚持“不放弃任何一个病人”的宗旨继续前行,用我们的专业使更多的病人受益。